放射科大夫指着一张CT片问:你是同性恋吗?
时间:2018-09-01 11:01出处:资讯阅读:274
在放射科待得久了,有时候看到一些特殊的片子,总会让人印象深刻,甚至于,通过片子能问到一些临床初诊医师不会去想到的问题。
比如曾经有这么一个病人,双肺满是病变,但却抗炎效果不好。见到病人的时候,发现病人脸色发青,嘴唇发紫,精神状态很差。老大夫直言不讳:你是同性恋吗?

当然,说这话的时候除了在场的几个小大夫,并无其他人,适当的照顾了病人隐私。老大夫问是否同性恋,其实基本是有把握的,问一下年轻的病人本身,只是需要得到验证,并可以尽快的给予治疗。
老大夫说的是什么?一这个病很可能是肺囊虫肺炎;二病人很可能是艾滋病;三 年轻男性,艾滋病,很可能是同性恋。老大夫,选择了一步到位,直接问到了第三步。
说起艾滋病,正在读文章的非专业人士您能联想到什么?这个人私生活不检点!这个病传染,我要躲远点!不能说您想的这些不对,但也不全对。得了艾滋病就是私生活不检点么?除了性传播,血液传播、母婴传播都是艾滋病的传播途径,不要太片面;正常与艾滋病病人的交流不会传染你,也请你收起恐慌的小眼神,给他/她一个微笑。
艾滋病,由感染艾滋病病毒(HIV病毒)引发的一种综合征,艾滋病病毒本身不会引发任何疾病,但是它会破坏人体的免疫系统,使人体丧失免疫功能。因此艾滋病病人容易感染各种疾病,甚至恶性肿瘤。其中肺孢子菌肺炎(PCP)是艾滋病感染者最常见、最严重的机会性感染,是艾滋病患者的重要致死原因。不治疗死亡率100%,不及时治疗死亡率50%以上,及时治疗也有20%-25%的死亡率。
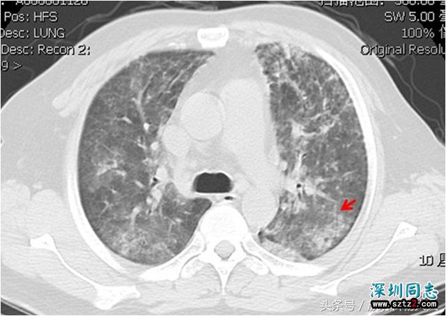
肺孢子菌在正常人群中也有,可以通过空气传播,但健康人群有强大的免疫系统保护,并不会发病;但艾滋病病人免疫系统缺陷,很容易感染,感染后可导致病人出现干咳、呼吸急促及发热等,高分辨CT是最佳检查方法,影像学表现也比较多样,可呈毛玻璃影、碎石路征、实变及结节等等。

PCP可以预后很好,但最可怕的一点就是艾滋病病人会反复感染PCP,直至患者治疗不及时或耐药导致死亡。
艾滋病病人还可以合并一种肿瘤——卡波济肉瘤(KS),现在艾滋病病人合并KS的越来越多,是艾滋病患者免疫力低下时常见的恶性肿瘤,通常艾滋病相关性KS容易累及淋巴结、皮肤、胃肠道甚至骨骼。累及肺内较少,但也可出现结节、实变等。
影像学上有所谓的同像不同病,病史对于影像诊断非常重要,一张PCP的片子在眼前, 放射科医生一定要了解病史,比如本文背景中介绍的,是否是艾滋患者,假如没法直接问,可以委婉的问问性取向如何之类,性取向本身不是问题,但假如性活动的时候不保护自己,那就是自己的错了。
为了避免尴尬,问这个问题的时候要让患者处于一个放松的环境,而且要让患者明白这个问题对疾病的诊断是很有帮助的。
另外,PCP还见于其他棉衣缺陷的人,比如因慢性肾病长期服用激素的病人。

不得不承认这个社会对艾滋病病人是有偏见的,异样的眼光,背后的指指点点让他们内心充满了无数恐惧,生病时也不愿将病史告知医生,多少病人因为难以启齿的病史错过了最佳治疗时间。希望我们可以给艾滋病病人多一份宽容。也希望艾滋病病人不要隐瞒病史,毕竟生命最宝贵。
